Dental Implants β The Last Smile You'll Ever Need
Discover how our advanced implant solutions restore function and beauty in one seamless journey. Premium materials. Expert care. A lasting smile crafted just for you.
Trusted & Accredited By Leading Organizations






A smarter, lasting solution β the Fusion way
Fixed full-arch dental implants replace a full set of upper or lower teeth with a permanent, natural-looking smile that's secured by implants β not adhesives or clasps. Here's what you can expect with Fusion Dental Implants:
- An all-in-one team of specialists under one roof
- A customized smile plan and a same-day provisional
- Transparent pricing and flexible financing options
- Precision planning for comfort, fit, and confidence

A full range of solutions, built for you
We design dental implants with your health, goals, and budget in mind.
Fusion Full Arch

Restore a full row of teeth with dental implants. Fixed full-arch solutions replace all upper or lower teeth for permanent strength and a natural smile.
Fusion Fixed

Upgrade from dentures to fixed implant dentures. Permanently attached teeth offer secure fit, natural aesthetics, and all-day comfort.
Fusion Single

Replace a single missing tooth with a dental implant. Strong, seamless, and designed to match your natural teeth perfectly.
Fusion Multi

Replace multiple missing teeth with implant bridges. Fewer implants restore function, preserve bone, and create a stable, natural look.
Our Price Match Guarantee
Premium Care. Best Price.
Dental implants, perfected by specialists
Precise digital mapping
We capture a full 3D model of your mouth using CBCT and CAD/CAM planning β guiding implant placement down to the micrometer for a custom, comfortable fit.
Built smart from day one
Your provisional smile is fabricated the same day from FDA-approved next-gen materials β stronger and more lifelike than traditional acrylics.
Zirconia, done the right way
Final teeth are custom-milled from premium zirconia after healing β no prefab shortcuts β for precision fit, natural translucency, and long-term durability.
Leave without teeth? Never.
We pioneered same-day smiles. You go home with secure, natural-looking teeth placed by the same expert team that plans and restores your case.
![]() | OTHER PROVIDERS | |
|---|---|---|
| Treatment Speed | Same-Day Dental ImplantsWalk in and leave with your new smile the same day. | Weeks of WaitingDelayed appointments and treatment timelines. |
| Pricing & Value | Price-Match GuaranteeTransparent pricing β we'll match any competitor. | Overpriced CareHidden fees and inflated treatment costs. |
| Care Delivery | All Care In-HouseSpecialists, surgeons, and lab in one location. | Fragmented CareMultiple providers and offices, less efficiency. |
| Prosthetic Material | Premium ZirconiaCustom-milled, high-strength, natural translucency. | Standard MaterialsLower-grade options with limited durability. |
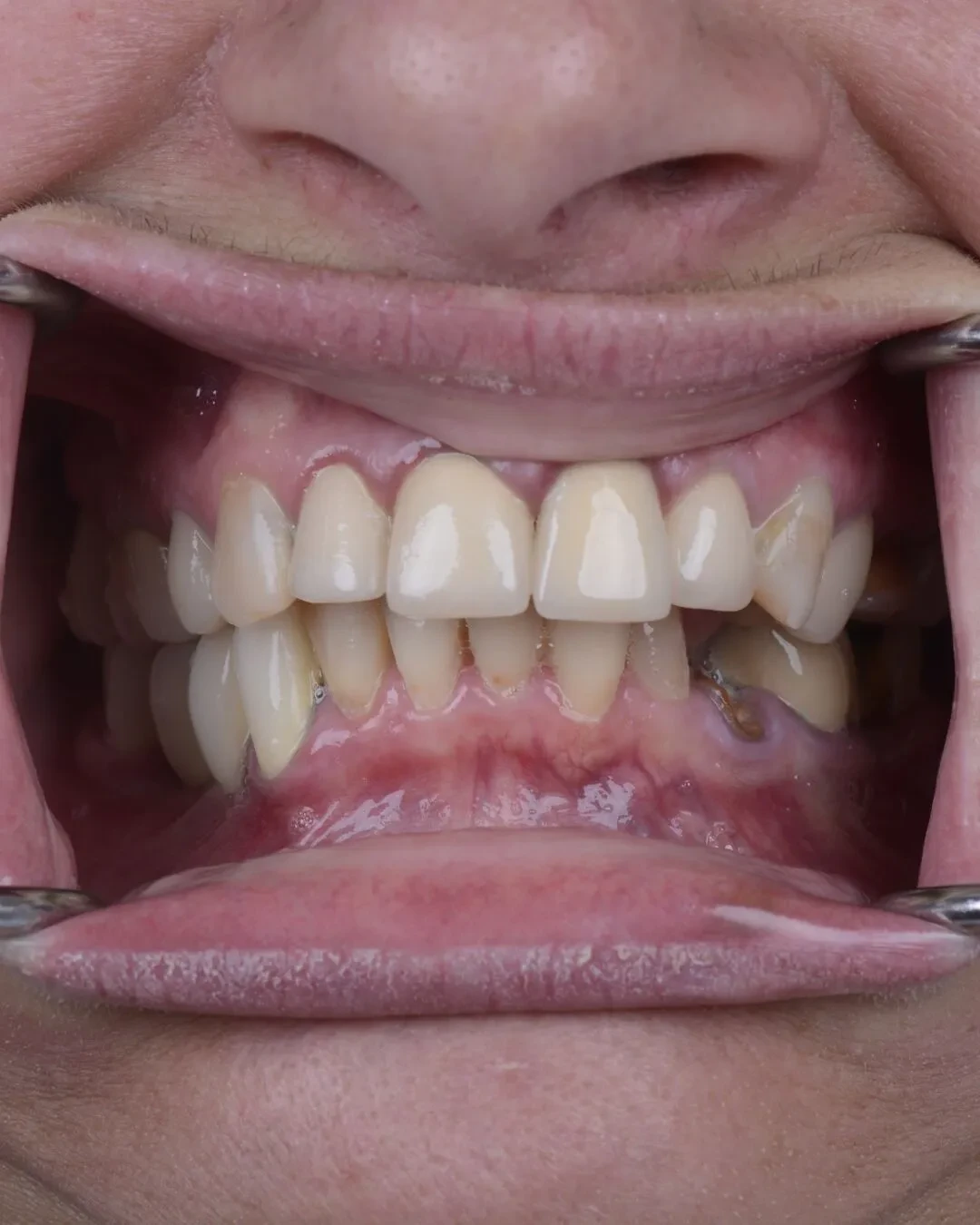
Real Smile Transformations
See the life-changing results from real patients who chose Fusion Dental Implants.
















Learn More
Special Cases & Implant Comparisons
Get specific guidance for your situation, or compare implant options side-by-side.
Conditions & Special Cases
- Dental Implants for Diabetics β
Safe implant outcomes for patients with controlled diabetes.
- Dental Implants for Smokers β
How smoking affects implant success and what we recommend.
- Nerve Damage Risk & Prevention β
Modern planning techniques that virtually eliminate nerve damage risk.
- Immediate-Load (Same-Day) Implants β
When you can leave with functional teeth the same day as surgery.
Compare Implant Options
- All-on-4 vs All-on-6 β
Implant count, bone needs, cost, and which is right for you.
- Zirconia vs Titanium Implants β
Material differences, aesthetics, biocompatibility, and cost.
Your Smile, Your Confidence
A smile that feels natural, looks great, and gives you back the confidence you deserve. Fusion makes it possible β with precision, care, and a gentle touch.

Fusion Dental Implants
A second chance at smiling

Fusion Dental Implants
Confidence fully restored

Fusion Dental Implants
A life-changing journey

Fusion Dental Implants



